草莓ios下载破解版(痛风能吃的海鲜)

草莓ios下载破解版(痛风能吃的海鲜)

admin 2025-10-22 看点 1 次浏览 0个评论

每年一体检

肯定有一大波人被查出

“高尿酸”“高血糖”“高血脂”

随着生活水平提升

这些富贵病越来越普遍

而且这类代谢疾病

除了药物治疗外

还需要在生活中注重饮食控制

很多人都觉得

糖尿病不能吃水果

痛风不能吃海鲜

高脂血症不能吃脂肪…

因为怕吃错而错过了很多美食

今天系统地告诉大家

痛风、糖尿病、高血脂症患者

哪些能吃、哪些不能吃

痛风能吃的海鲜,糖尿病能吃的水果……大部分人都不知道

什么是痛风?

所谓痛风

是由尿酸盐沉积导致的

一种晶体相关性关节病

痛风的病因是「高尿酸血症」

就好比水里的盐浓度太高了

慢慢被析出来就形成“尿酸结晶”导致痛风

痛风能吃的海鲜,糖尿病能吃的水果……大部分人都不知道

痛风自然病程一般有4个阶段

1

无症状性高尿酸血症

2

急性痛风性关节炎

3

间歇期

4

痛风石与慢性痛风性关节炎等

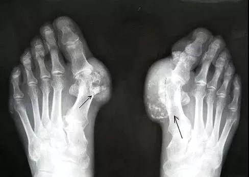
痛风性关节炎急性发病期

受累关节会发热、变得暗红、肿胀

感觉有刀割或咬噬样疼痛

如果治疗不当

会迁延不愈或转移到其他关节

痛风能吃的海鲜,糖尿病能吃的水果……大部分人都不知道

痛风饮食治疗总体原则

“三低一多”

三低:低嘌呤饮食、低(减轻)体重;低盐低脂饮食

一多:多(大量)喝水

另外先说明一点,过去主张无嘌呤或严格限制富含嘌呤的食物,但同时也限制了蛋白质的摄入,长期会导致营养不良。

因此,目前最新的建议改为:主要限制含嘌呤高的食物。

也就是说,饮食限制相对放宽了,但该严格的还是一样严格。

痛风能吃的海鲜,糖尿病能吃的水果……大部分人都不知道

高尿酸/痛风患者不能吃什么?

01

不吃动物内脏,少吃红肉

各种动物内脏,包括肝脏、肾脏、大脑、肠子等,都不要吃。

浓肉汤、鱼汤、海鲜汤等,也不要吃。

各种红肉(牛肉、羊肉、猪肉等),在痛风急性发作期,不要吃。

当痛风患者处于缓解期或高尿酸血症状态时,红肉摄取量控制在一天50克以内,但可以适量吃一些去皮的白肉。

痛风能吃的海鲜,糖尿病能吃的水果……大部分人都不知道

02

少吃海鲜类食物

长期吃大量高嘌呤海鲜,也是痛风的风险因素之一。

尽量不要吃,急性期绝对不能吃的有(高嘌呤):

贝类、牡蛎和螃蟹等带甲壳的海产品;

一些鱼类,如鲤鱼、鲫鱼、黄鱼等。

可以少量吃的(中嘌呤):

金枪鱼、鲈鱼等鱼类;

小龙虾、河虾、大闸蟹(除了蟹黄)等。

痛风能吃的海鲜,糖尿病能吃的水果……大部分人都不知道

03

减少脂肪摄入、减肥

脂肪本身会阻碍肾脏对尿酸的排泄,高脂饮食还会导致肥胖和代谢紊乱。

所以吃“肉”要选脂肪含量低的;控制烹调用油,植物油20~30克/天;花生、核桃、瓜子等坚果含脂肪多,也要少吃。

本身比较胖的患者(单纯腰腹肥胖也算),减肥本身就有利于代谢紊乱状态的改善,建议将体重控制在正常范围(BMI 18.5~23.9 kg/m²)。

痛风能吃的海鲜,糖尿病能吃的水果……大部分人都不知道

04

不吃精制碳水化合物

碳水化合物提供的能量占总能量的50~60%,宜选择低GI食物。

鼓励全谷物食物占全日主食量的30%以上,全天膳食纤维摄入量达到25~30g。

05

严格戒酒、不喝甜饮料

急性痛风发作、药物控制不佳或慢性痛风石性关节炎的患者,应严格禁酒精。

众所周知,喝酒增加痛风发作的风险,啤酒尤为显著,红酒风险相对小些。具体排序是陈年黄酒 > 啤酒 > 普通黄酒 > 白酒 > 红酒。

痛风患者喝饮料前要注意看一下配料表,减少含糖量较高(包括果糖)的饮料,添加“果葡糖浆”、“白砂糖”、“蜂蜜”的最好就不要喝了。

06

不吃干豆,可适当吃豆腐、豆浆

很多人以为痛风患者不能吃豆类食物。但其实豆类的促尿酸排泄作用>含嘌呤高导致的血尿酸合成增加,所以不会影响血液中嘌呤的量。

另外,豆类含丰富的蛋白质、膳食纤维、大豆异黄酮等有益物质,可以降低心脑血管疾病的风险。

因此痛风患者可适当吃豆腐、豆浆等豆制品,但不要吃干豆。

痛风能吃的海鲜,糖尿病能吃的水果……大部分人都不知道

痛风可以吃的海鲜

痛风患者为了避免发作

不能吃高嘌呤饮食如大部分海鲜

但也不是全都必须戒掉

❶嘌呤含量较少的食物,痛风缓解期可少量吃;

❷嘌呤含量较高的食物,痛风缓解期要限制吃;

❸嘌呤含量特别高的食物,禁止食用。

痛风患者可以吃的海鲜:

鲜海参

· 嘌呤含量≈8

嘌呤最低的海鲜,比很多蔬菜都低!

海蜇丝·嘌呤含量≈9

嘌呤含量第2低的海鲜,比大米还低!

部分鱼类·嘌呤含量 65~127

如鳕鱼、桂鱼、多宝鱼、鳝鱼

部分虾蟹·嘌呤含量 101~121

如鲜对虾、大闸蟹(熟)

注:嘌呤含量单位:mg/100g

Point

痛风患者如何吃海鲜?

上述这几类低、中嘌呤海鲜,血尿酸控制在300umol/L以内的痛风患者,在缓解期可少量尝一尝。

但痛风发作期间一定不要吃!

痛风能吃的海鲜,糖尿病能吃的水果……大部分人都不知道

相反,有些食物看起来很「素」

但嘌呤却比我们想象得要高

痛风患者要尽量少吃

痛风患者不建议吃的素菜:

黄豆绿豆

痛风能吃的海鲜,糖尿病能吃的水果……大部分人都不知道 腐竹 痛风能吃的海鲜,糖尿病能吃的水果……大部分人都不知道 芦笋 痛风能吃的海鲜,糖尿病能吃的水果……大部分人都不知道 紫菜 痛风能吃的海鲜,糖尿病能吃的水果……大部分人都不知道

糖尿病推荐吃的水果

水果虽然含糖

但糖尿病人并不是不能吃

适合糖尿病患者吃的水果

应符合以下几个特点

❶生糖指数(GI)<55:吃了后升糖不快

❷血糖负荷(GL)<10:对血糖水平影响不大

按这2个标准挑选

入选了几个比较适合糖尿病患者

吃的水果

糖尿病适合吃的水果:

樱桃

痛风能吃的海鲜,糖尿病能吃的水果……大部分人都不知道

·GI值≈22

·GL值≈2

GI、GL值都很低,但要少吃熟透的!

木瓜

痛风能吃的海鲜,糖尿病能吃的水果……大部分人都不知道

·GI值≈25

·GL值≈2

木瓜不丰胸,但对糖尿病是真友好!

草莓

痛风能吃的海鲜,糖尿病能吃的水果……大部分人都不知道

·GI值≈29

·GL值≈2

虽然甜但其实含糖量真不算高!

鲜桃

痛风能吃的海鲜,糖尿病能吃的水果……大部分人都不知道

·GI值≈28

·GL值≈3

当然,如果对桃子过敏则不要吃!

苹果

痛风能吃的海鲜,糖尿病能吃的水果……大部分人都不知道

· GI值≈36

·GL值≈4

各项指标都比较适中,物美价廉。

以上这些水果比较适合糖尿病患者

而若水果升糖快、对血糖影响较大

哪怕不甜,也应尽量少吃

不算很甜却对血糖影响大的水果:

山楂

痛风能吃的海鲜,糖尿病能吃的水果……大部分人都不知道 香蕉 痛风能吃的海鲜,糖尿病能吃的水果……大部分人都不知道 鲜枣 痛风能吃的海鲜,糖尿病能吃的水果……大部分人都不知道 菠萝 痛风能吃的海鲜,糖尿病能吃的水果……大部分人都不知道

Point

糖尿病如何吃水果?

糖尿病患者如近期血糖控制相对平稳,每天可以选在两餐之间吃100~200g左右的水果。

但如果近期血糖波动较大,则还是忍忍吧!

痛风能吃的海鲜,糖尿病能吃的水果……大部分人都不知道

高脂血症建议吃的脂肪

大家印象中

高脂血症的人一定要少吃大鱼大肉

油脂和胆固醇高的食物

但其实即便是高脂血症患者

也不能一点油脂都不吃

❶人体胆固醇其实只有小部分和饮食相关

❷适量摄入Ω-3不饱和脂肪酸对心血管有益

高脂血症适合吃的脂肪:

三文鱼

痛风能吃的海鲜,糖尿病能吃的水果……大部分人都不知道

·脂肪含量≈7.8

富含Ω-3不饱和脂肪酸,对血管有益

鸡蛋

痛风能吃的海鲜,糖尿病能吃的水果……大部分人都不知道

·脂肪含量≈8.6

隔天吃1个整鸡蛋对胆固醇影响不大~

坚果

痛风能吃的海鲜,糖尿病能吃的水果……大部分人都不知道

·脂肪含量≈30~70

每天一小把(10g)坚果,对心血管有益

注:脂肪含量单位:g/100g

高脂血症还应该少吃:

加工零食

痛风能吃的海鲜,糖尿病能吃的水果……大部分人都不知道 甜点 痛风能吃的海鲜,糖尿病能吃的水果……大部分人都不知道 含糖饮料 痛风能吃的海鲜,糖尿病能吃的水果……大部分人都不知道

这些食物中可能含有

过多添加糖、反式脂肪酸

糖过多在体内一样也变成脂肪

而反式脂肪酸则隐藏在一些零食配料里

对血管有害

Point

高血脂患者如何吃脂肪食物?

在不影响血脂指标,尤其是低密度脂蛋白胆固醇的前提下,上述3种富含脂肪的食物适量食用是不会影响健康的。而且一定程度上还会对降血脂有益!

痛风能吃的海鲜,糖尿病能吃的水果……大部分人都不知道

参考资料:

[1]《中国食物成分表 标准版 第一、二册》.

[2]《中国居民膳食指南(2016版)》.

[3]https://www.dnurse.com/v2/article/detail/19062.html.

[4]国家卫健委《高尿酸血症与痛风患者膳食指导》(2017年).

[5]沈宁. 饮酒与痛风发作风险相关性的Meta分析[D]. 2016.

[6]中国营养科学全书(第二版).

[7]中国食物成分表 标准版.

[8]Firestein GS, et al., eds. Etiology and pathogenesis of hyperuricemia and gout. In: Kelley and Firestein's Textbook of Rheumatology. 10th ed. Philadelphia, Pa.: Elsevier; 2017.

[9]AskMayoExpert. Gout. Rochester, Minn.: Mayo Foundation for Medical Education and Research; 2018.

来源: 扬子名医团

转载请注明来自Sjyct,本文标题:《草莓ios下载破解版(痛风能吃的海鲜)》

每一天,每一秒,你所做的决定都会改变你的人生!

发表评论

快捷回复:

评论列表 (暂无评论,1人围观)参与讨论

还没有评论,来说两句吧...